Histology And Pathology


We provide Histology and Pathology services include:

  • Tissue Dissection/Grossing
  • Tissue Mapping and Decalcification
  • Tissue Processing and Embedding
  • Sectioning Frozen Specimens
  • Sectioning Fixed Specimens
  • Routine and Special StainsDigital Imaging and Analysis
  • Hematoxylin& Eosin
  • Masson’s trichrome (Collagen)
  • Verhoeff-Van Gieson (Elastin)
  • Digital Imaging and Analysis
  • Pathology Interpretation

history-and-pathology-img

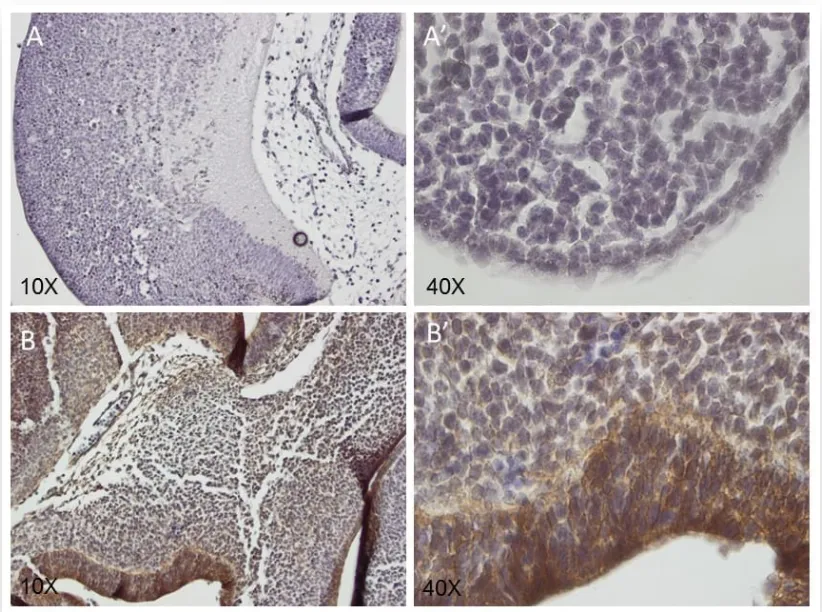
Immunochemistry (IHC) detection of beta-catenin in mouse embryo tissue (E12.5). The tissue was incubated with rabbit IgG for over night serving as negative control. (Magnification: A:10X; A’: 40X), and a commercial available anti-beta-catenin rabbit polyclonal antibody for over night. (Magnification: B 10X; B’: 40X)

Our imaging services available for:

  • Stained samples (H&E and special stains)
  • Immuno-labeled samples
  • Frozen and fixed samples
  • Full specimens
  • Tissue microarrays
Send your request to info@watsonbio.com or click Request Quote below